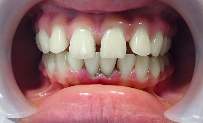
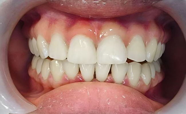
Galería de antes y después de Invisalign
Central Dental Associates se enorgullece de presentar la Galería de Invisalign. La galería muestra las increíbles transformaciones que nuestros pacientes han experimentado con Invisalign. Cada imagen muestra una sonrisa única, destacando la capacidad de Invisalign para corregir problemas de ortodoncia. El objetivo del Dr. Shah es ayudar a los pacientes a lograr sonrisas hermosas mediante el tratamiento Invisalign personalizado.
Transformaciones antes y después
- Casos: La galería contiene muchos casos, incluidos submordidas y sobremordidas. Cada caso ilustra la versatilidad de Invisalign para abordar diversos problemas de ortodoncia.
- Resultados reales: Nuestra galería contiene imágenes de resultados de antes y después. Estas fotografías no han sido alteradas, lo que proporciona una visión realista del poder transformador de Invisalign.
- Atención personalizada: Central Dental Associates brinda atención personalizada a cada paciente. Nuestra galería muestra los planes de tratamiento que nuestros dentistas han diseñado para satisfacer los objetivos y necesidades únicos de cada paciente.
Cómo aprovechar al máximo esta galería
Central Dental Associates en Cicero, IL, lo invita a programar una consulta si Invisalign es lo que necesita para transformar su sonrisa. Nuestro equipo de dentistas experimentados, incluidos el Dr. Salem y el Dr. Shah, está comprometido a ayudarlo a lograr la sonrisa de sus sueños. ¡Reserva tu cita ahora!
¿Tiene usted alguna pregunta?
No dude en llamarnos al (708) 652-7575
O envíenos un mensaje de texto al (708) 512-4708







