Invisalign Before and After Gallery
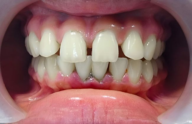
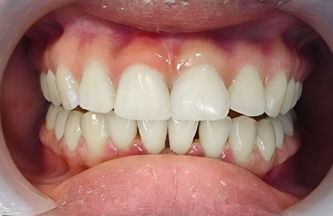
Central Dental Associates proudly presents the Invisalign Gallery. The gallery displays the incredible transformations that our patients have experienced with Invisalign. Each image shows a unique smile, highlighting Invisalign's ability to correct orthodontic issues. Dr. Shah's goal is to help patients achieve beautiful smiles through personalized Invisalign treatment.
Before & After Transformations
- Cases: The gallery contains many cases, including underbites and overbites. Each case illustrates the versatility of Invisalign in addressing various orthodontic concerns.
- Real Results: Our gallery contains images of before-and-after results. These photos have not been altered, providing a realistic view of Invisalign’s transformational power.
- Personalized Care: Central Dental Associates provides customized care to each patient. Our gallery displays the treatment plans our dentists have designed to meet each patient’s unique goals and needs.
How to Get the Most Out of this Gallery
Central Dental Associates in Cicero, IL, invites you to schedule a consultation if Invisalign is what you need to transform your smile. Our team of experienced dentists, including Dr. Salem and Dr. Shah, is committed to helping you achieve the smile of your dreams. Book your appointment now!
Do You Have Any Questions?
Feel Free To Give Us A Call At (708) 652-7575
Or Send Us a Text at (708) 512-4708







