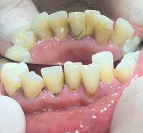
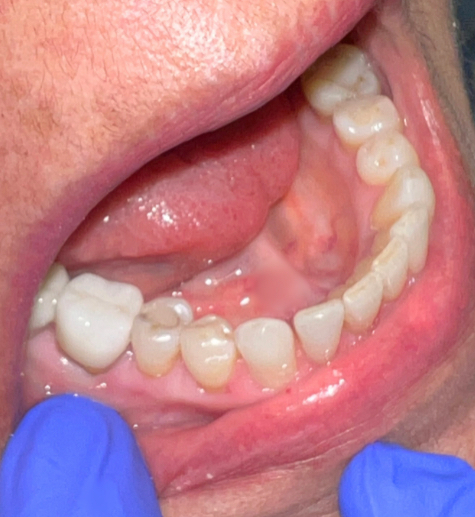
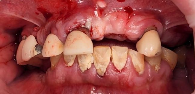
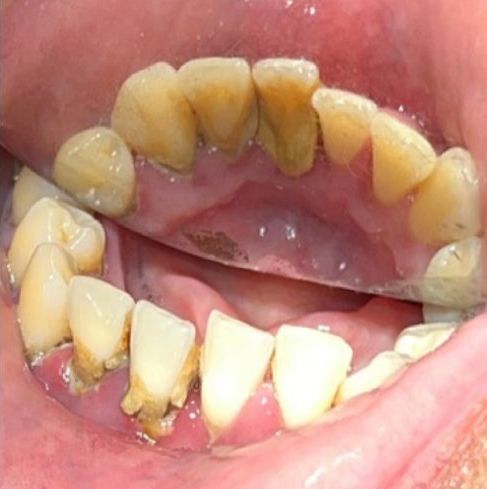
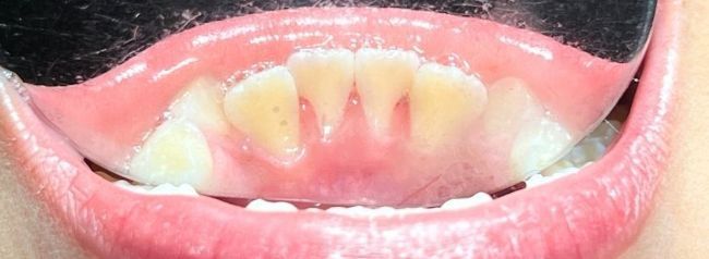
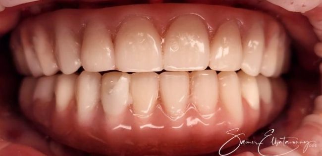
Central Dental Associates - Smile Gallery

Before & After Cases